Skin to nerve cells
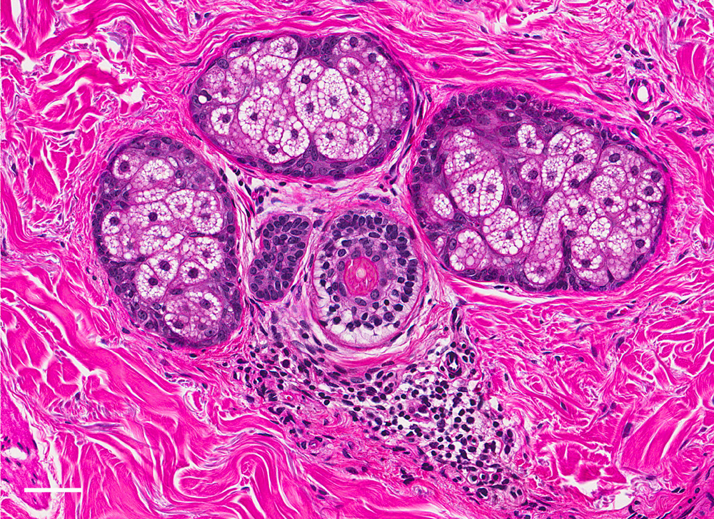
Bad hair day? Grease factories are at work in your skin. Three sebaceous glands surround the hair follicle and will empty their greasy globules (white) onto the hair – the round pink thing in the centre of the follicle. Looking at tissue stained like this is the basis of a lot of clinical histology, where diseases are diagnosed and students learn what the microscopic structures in tissues look like.
Imaged using light microscopy by A/Prof. Paul Rigby, University of Western Australia.
Size: the biggest sebaceous gland is 225 micrometres wide.